Blogs

Why Regular Dental Check-ups Are Crucial for Your Child’s Oral Health
Why Regular Dental Check-Ups Matter for Children Regular dental check-ups in children are essential for healthy teeth and gums. Early visits help spot problems before

What is Oral Maxillofacial Surgery? Understanding the Procedures and Benefits
What Is Oral Maxillofacial Surgery? Oral maxillofacial surgery is a special type of surgery for the mouth, jaw, and face. It helps treat many problems,

When Should Your Child’s First Dental Visit Be?
Introduction Many parents wonder, “When should your child’s first dental visit be?” Early dental visits are important for your child’s health. In fact, starting dental

What to know About Root Canal Treatment?
A dental procedure to repair and save a tooth that is infected or badly decayed. During a root canal procedure, the dentist removes the infected

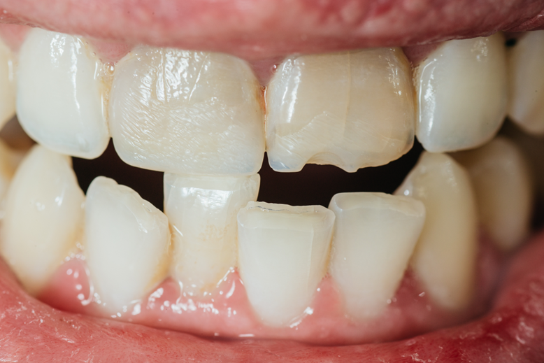
A Guide on Fractured Tooth or Cracked Tooth Syndrome
A cracked tooth, also called Fractured tooth, is when you find a crack in your tooth. It may be small and harmless, but it can

Frequently Asked Questions (FAQs) on TMJ
Q1: What is TMJ? A1: Temporomandibular joint (TMJ) is the joint that connects your jawbone to your skull. TMJ can also refer to temporomandibular joint

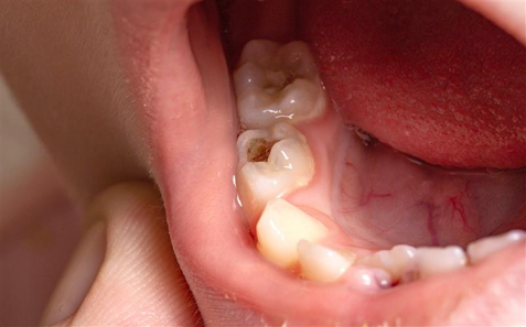
Understanding Dental Caries: What Are the Causes and Symptoms?
Dental caries, commonly known as cavities or tooth decay, are one of the most prevalent dental issues worldwide. Almost everyone experiences a dental cavity at

Invisible Aligners: How They Can Boost Your Confidence
Orthodontic treatment has long been associated with metal braces, which can sometimes feel uncomfortable or affect your appearance. However, with the advent of invisible aligners,

Discover the Different Types of Dental Crowns: A Complete Guide
Welcome to an insightful exploration of dental crowns! Whether you’re considering ways to enhance your smile or restore the function of your teeth, understanding the

Dental Implants vs Dentures: Which is Right for You?
Tooth loss can be unsettling. It can affect your ability to eat, speak, and even smile confidently. Your oral health is essential for your overall

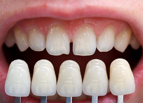
Introduction to Veneers
Dental veneers are a fantastic way to transform your smile. They are especially great for people with cracked, chipped, or discolored teeth. Veneers provide a

Why is Fluoride Treatment Essential for Oral Health: Key Benefits Explained
Fluoride plays a crucial role in maintaining oral health, serving as a shield against cavities and tooth decay. In India, dental issues are on the

10 Hidden Causes of Gum Swelling and Solve Them
Introduction: Why Gum Health Matters for Everyone Gum health is an essential part of overall well-being. Understanding gum swelling and its effects is important for

Clearing the Way to a Perfect Smile: The Magic of Invisible Aligners
Invisible aligners are a series of tight-fitting, custom-made mouthpieces that slip over the teeth. Made of clear plastic, they’re nearly invisible, offering a discreet alternative

Gum Contouring 101: A Beginner’s Guide to a Perfect Smile
Gum contouring can be the first step towards the smile you’ve always desired. It simplifies enhancing your smile by reshaping your gums for a more

How Often Should You Get a Regular Dental Cleaning? Find Out Here!
Keeping your teeth clean is essential for a healthy mouth. But how often should you get a regular dental cleaning? This is a common question

Zirconia Crowns vs. Traditional Crowns: Which One is Right for You?
When it comes to fixing your teeth, picking the right crown material can make a big difference in how your smile looks and works. Zirconia

Understanding Wisdom Tooth Extraction: Procedure, Recovery, and Care
Wisdom tooth extraction, a common dental procedure many individuals undergo to alleviate pain, prevent complications, and maintain oral health. These third molars, also known as

Understanding the Benefits of Root Canal Treatment
When dental issues escalate and become severe, root canal treatment often gets recommended. This dental procedure, while initially daunting to some, offers significant benefits. In

Navigating Wisdom Tooth Extraction: Your Guide to Smooth Recovery and Lifestyle Adjustments
Wisdom tooth extraction, a standard dental procedure many undergo during their late teens or early twenties. As these third molars often cause discomfort and various

Zirconia Crowns: The Modern Solution for Strong, Natural-Looking Teeth
When it comes to dental crowns, zirconia crowns are making waves for their impressive strength and natural appearance. But what exactly are they, and why

Expert Insights: Answering Your Frequently Asked Questions About Dental Veneers
Dental veneers offer a remarkable way to enhance your smile, but questions often arise. In this guide, we provide expert insights to address the most

Understanding Tooth Sensitivity
A sharp, short, painful sensation in your teeth when you eat or drink hot or cold foods. Tooth sensitivity is an exaggerated response to triggers

Don’t Ignore a Cracked Tooth: Effective Treatment Options
Cracked teeth are a common dental problem that should never be ignored. If left untreated, a cracked tooth can lead to serious dental issues such

Transforming Your Smile: The Benefits of Digital Smile Designing
A radiant smile is often considered one of the most attractive features a person can possess. It has the power to boost self-confidence, enhance social

Myths and Facts on TMJ
Myth 1: TMJ only affects older adults. Fact: TMJ can affect individuals of all ages, including children, teenagers, and adults. Age is not a determining

Laser-Assisted Dentistry: Advancing Patient Care through Modern Techniques
In the ever-evolving landscape of dental care, laser-assisted dentistry stands out as a game-changing advancement that has revolutionized the way we approach various dental procedures.

Breath of Fresh Air: Understanding and Managing Halitosis
Halitosis (bad breath) is an oral health problem where the main symptom is bad-smelling breath. It is a common oral health problem that affects people

10 Surprising Causes of Halitosis
Bad breath, also known as halitosis, can be caused by a variety of factors. While poor oral hygiene is a common cause, there are other

FAQs around Laser Dentistry: Shedding Light on Your Queries
Laser dentistry has transformed the dental landscape, offering precise, comfortable, and efficient treatments. If you’re curious about this advanced approach, here are answers to frequently

Tooth Sensitivity: Causes, Symptoms, and Effective Management
Tooth sensitivity can be a bothersome condition that causes discomfort or pain when certain stimuli, like hot or cold temperatures, sweet foods, or brushing, come

All About Dentures
Why are Dentures Used? Dentures are used to replace missing teeth and restore your smile and ability to eat and speak properly. They provide support

Your Guide to Understanding and Preventing Dental Caries
Dental caries, commonly known as tooth decay or cavities, is a widespread issue that affects people of all ages. It’s not just about an occasional

All About Tooth Decays or Dental Cavities (Dental Caries)
Dental Caries is an infectious disease caused by microorganisms or bacteria which destroy the tooth structure leading to holes in the teeth. Dental caries, also

What are Dental Bridges?
Dental bridges are a type of dental restoration used to replace one or more missing teeth. They are typically made up of one or more

Dental Caries: Prevention and Management Strategies
Dental caries, commonly known as tooth decay or cavities, is a prevalent oral health issue affecting people of all ages. It occurs when bacteria in

Exploring Dental Veneers: A Comprehensive Guide to Enhancing Your Smile
Dental veneers are a transformative solution that can help you achieve the smile you’ve always dreamed of. This comprehensive guide explores the ins and outs

The Essential Guide to Teeth Cleaning: Achieving Optimal Oral Health
Maintaining proper oral hygiene is vital for overall well-being, and a key component of this is regular teeth cleaning. This article delves into the importance

Dental Crowns: Everything You Need to Know
A dental crown is a tooth-shaped cap that is placed over a damaged or decayed tooth to restore its shape, size, and strength. It is

A Patient’s Guide to Straightening Teeth with Clear Aligners
Invisible aligners are a type of orthodontic treatment used to teeth straightening. They are a series of clear, removable aligners custom-made to fit your teeth.

Metal Braces: A Comprehensive Guide to Straighten Your Smile
Metal braces are a tried-and-true orthodontic treatment option that has been used for decades to correct misaligned teeth and achieve a straighter smile. They consist

Know About Periodontal Diseases (Gum Diseases)
Gum or periodontal disease is an inflammatory condition affecting the gums and bone surrounding your teeth. If left untreated, it can destroy your gum tissue

Smile with Confidence: The Benefits of Dentures
Dentures are a popular and effective solution for people who have lost their natural teeth. They are removable prosthetic devices that are designed to replace

Dental Implants: What to Know?
Dental implants are artificial tooth roots that are used to replace missing teeth. They are typically made of titanium or another biocompatible material that can

The Art of Periodontal Plastic Surgery
Are you unhappy with your smile? Do you have concerns about your gum health or the aesthetics of your teeth? If so, periodontal plastic surgery

Understanding Mandibular Fractures: Causes, Treatment, and Prevention
Mandibular fractures, commonly known as jaw fractures, can result from various factors and have significant implications for one’s oral health and overall well-being. It is

Digital Smile Designing: Can It Help You Achieve a Healthier Smile?
Yes! Digital Smile Designing (DSD) is a cosmetic procedure in which dentists design and change a patient’s smile digitally before the treatment starts. This technology

Preventing Periodontal Disease: Tips for a Healthy Mouth
Periodontal disease, also known as gum disease, is a common condition that affects the gums and tissues surrounding the teeth. If left untreated, it can

Teeth Cleaning: Expert Answers to FAQs
Teeth cleaning is a cornerstone of oral hygiene, yet many people have questions about the process. This article addresses frequently asked questions about teeth cleaning,

Invisalign vs Braces: Choosing the Right Teeth Straightening Option for You
A beautiful smile is something that everyone desires. Straight and properly aligned teeth not only enhance your appearance but also contribute to overall dental health.

Embrace the Change: How Metal Braces Can Boost Your Confidence?
Do you find yourself hiding your smile because of misaligned or crooked teeth? Metal braces may be the answer you have been looking for. Not